Pediatric Dentistry

Early Braces Treatment In Children



The general myth that prevails, "I need to wait till my child turns 13 years of age to start braces treatment?" Is that true? Read the below post to know more about early braces treatment in children.

What is the difference between Early and Regular Braces Treatment?
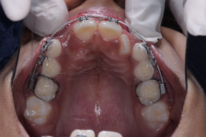
Early braces treatment begins as early as 7 or 8 and regular orthodontic treatment starts at the age of 12 or 13.

Why my child need Early Braces treatment. Is there any advantage?
Early braces treatment correct the irregularly placed teeth and create room for erupting permanent teeth. correct bite problems such as open bite, cross bite and improves the appearance and self esteem of the child.

Does all kids require Early braces treatment?
All kids require dentist consultation at the age of 7 years to know whether they need any braces treatment or not. This checkup gives any of the three answers mentioned below

1. No treatment is necessary.
2. Treatment may be needed in future, so regular follow up is mandatory.
3. There is a problem present, so immediate intervention is needed.


Now, why are you waiting for? Consult your dentist and know about your child's dental status and get treated early to prevent future complications.